1 листопада 2025
🦷 Онлайн-майстер-клас:
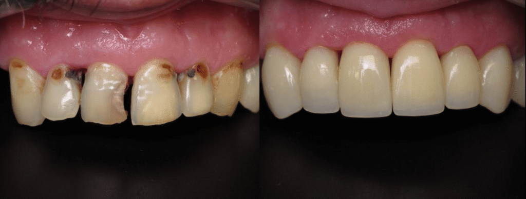
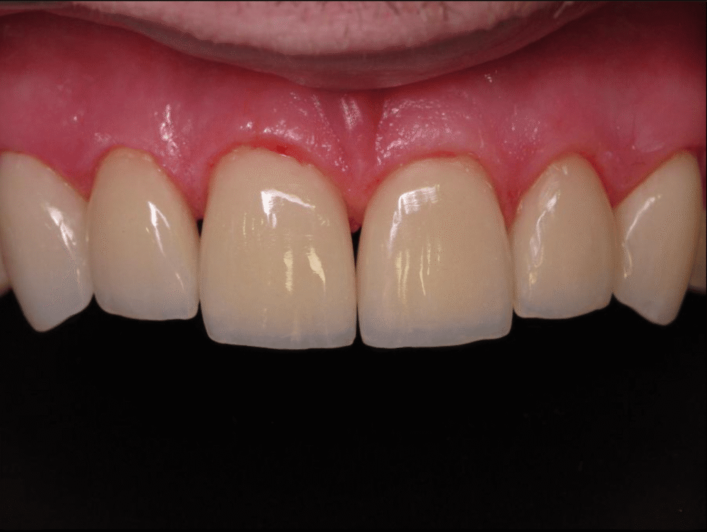
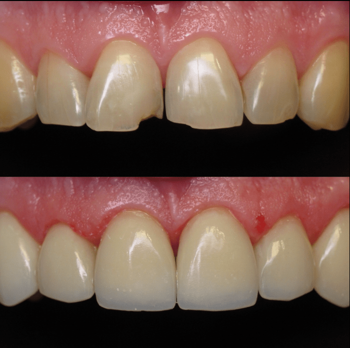
Композитні вініри в прямій техніці
Естетика, що змінює життя — починається у вашому кріслі.
🔍 Про що цей майстер-клас?
Ми зануримось у світ сучасної естетичної стоматології:
від філософії до точних клінічних протоколів, які ви зможете застосувати вже наступного дня.
Це не просто про техніку — це про розуміння мрій пацієнта і втілення їх у реальність.
📚 Теоретичний блок:
- Концепція естетичної стоматології
- Ідеальні пропорції
- Розуміння мови кольору
- Вініри – міфи та реальність
- Адгезивна реставрація – це сучасне та майбутнє відновлювальної стоматології
- Секрети та тонкощі фінішної обробки
- Помилки та ускладнення естетичного лікування
🖐 Практичний блок:
- виконання прямого композитного вініру на верхньому центральному різці
- реставрація зубу в основі
- побудова контактного пункту
- фінішна обробка
💎 Чому варто освоїти прямі композитні вініри?
✅ Швидко – не треба чекати техніка. Посмішка за 1–2 дні.
✅ Щадно – мінімальне препарування, емаль зберігається.
✅ Естетично – природний вигляд, ідеальна адаптація, жодної “штучності”.
✅ Практично – легко скоригувати форму або відремонтувати скол.
✅ Економічно – чудова альтернатива кераміці для пацієнтів.
Лектор:
Наталія Синиціна, лікар стоматологічної клініки-студії «Аполлонія» Сергія Радлінського з 2002 року, викладач практичних курсів в навчальному центрі «Аполлонія» та сертифікований тренер компанії Dentsply Sirona, лікар-інструктор «Призма-чемпіонату», викладач майстер-класів з відео-демонстрацією із застосуванням біоміметичного методу Сергія Радлінського, членкиня УАЕС
💬 І головне…
Ваші пацієнти будуть дякувати вам щоранку — посміхаючись у дзеркало.
Цей майстер-клас допоможе вам стати тим лікарем, до якого повертаються і якого радять.



