15 листопада Онлайн майстер-клас з практичною демонстрацією
“Авторська побудова контактних поверхонь в бічних зубах”
6 академічних годин
6 балів БПР
Вартість: 899 грн
Чому ви навчитесь
Це практично орієнтований онлайн майстер-клас, який дає вам чітке розуміння і покроковий протокол у ключовому аспекті прямої реставрації бічних зубів — анатомії та побудові контактних поверхонь бічних зубів.
Після участі ви зможете:
✅ Розуміти 3D-анатомію контактних поверхонь між премолярами і молярами — так, як цього не вчать в університеті
✅ Впевнено обирати матеріали та матричні системи для кожного клінічного випадку
✅ Виконувати точну анатомічну реставрацію навіть у складних умовах (старі пломби, під’ясеневі дефекти, тісні контакти)
✅ Побудовувати ідеальний контакт із правильним кутом коронки — без порушення оклюзії, із збереженням пародонту
✅ Поєднувати різні типи композитів в одній реставрації — для функціонального й естетичного результату
✅ Професійно моделювати оклюзійну поверхню (первинні горбики, вторинні фісури, тонування)
✅ Освоїти техніку фінішної обробки: шліфування, полірування, контроль адаптації
🚀 Навіщо вам цей майстер-клас?
Бо контактна поверхня — це серце функції. Забезпечує:
— комфорт у жуванні
— стабільність у прикусі
— захист пародонту
— довговічність реставрації
Навіть ідеальна анатомія без правильного контакту — помилка, що коштує рецидиву карієсу, травми ясен або втрати довіри пацієнта.
🦷 Якщо ви хочете:
- зменшити переробки та скарги
- зробити свої реставрації стабільними на роки
- мати чіткі протоколи для себе й своєї команди
- підвищити середній чек та клінічну експертність
👉 Цей майстер-клас — саме для вас.
🕙 10:00–12:00
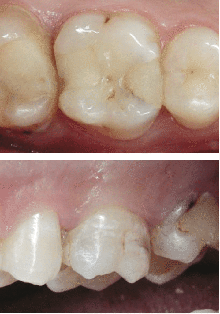
АНАТОМІЯ КОНТАКТНИХ ПОВЕРХОНЬ
• Параметри «кута коронки» бічних зубів
• Функціональні параметри контактних поверхонь
• 3D-анатомія контактів між премолярами і молярами
• Алгоритми побудови контактних поверхонь
МАТЕРІАЛИ ТА ІНСТРУМЕНТИ
• Матриці й клинці для різних клінічних ситуацій
• Композити: текучий, мікро- та наногібрид
• Матричні системи: вибір та ефективне використання
• Адаптація композиту та контроль щільності
• Світлова полімеризація контактної ділянки
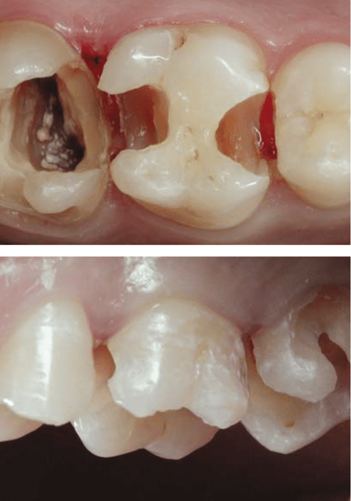
ПІДГОТОВКА ДО РЕСТАВРАЦІЇ
• Препарування молярів з карієсом/старими пломбами
• Адгезивна підготовка (тотальне протравлення)
• Анатомічні орієнтири для точного відтворення
• Побудова кута як частини контактної поверхні
• Чому в одній реставрації застосовуються різні композити
🕧 12:30–14:30
ПОБУДОВА КОНТАКТНИХ ПОВЕРХОНЬ
• Побудова дистальної поверхні, первинна обробка
• Мезіальна поверхня та відновлення дентину
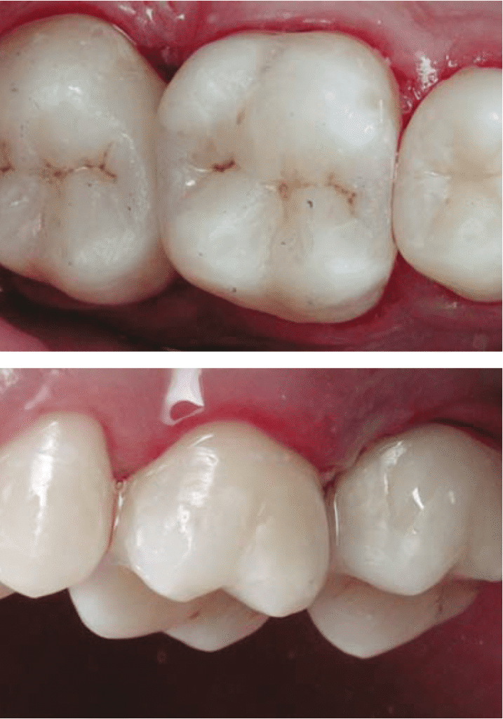
• Моделювання оклюзії: горбики й фісури
• Тонування фісур — для контролю рельєфу
• Фінішна обробка: моделювання, шліфування, полірування
КЛІНІЧНІ ПРИКЛАДИ
• Контакти між премолярами
• Контакти між молярами
🕞 14:30–15:00
Q&A – ВІДПОВІДІ НА ВАШІ ЗАПИТАННЯ
Про лектора:
Сергій Радлінський, Полтава, Україна – закінчив стоматологічний факультет (1979) та аспірантуру з стоматології дитячого віку (1990) Української медичної стоматологічної академії (Полтава), Заслужений лікар України (1994), Почесний професор Української медичної стоматологічної академії (2010), Почесний доктор Тбіліського державного медичного університету (2010) та Кишинівського університету медицини та фармації (2012).
Очолює стоматологічну клініку-студію та навчальний центр «Аполлонія», видає стоматологічний журнал «ДентАрт», автор та керівник проекту Міжнародних клінічних змагань «Призма-чемпіонат». Професійні інтереси зосереджені в естетиці та техніці прямої реставрації зубів.
Є активним членом Міжнародної колегії стоматологів (ICD) і регентом Дистрикту 15 Європейської секції, Міжнародної академії адгезивної стоматології (IAAD), афілійованим членом Європейської академії естетичної стоматології (EAED), співзасновником та паст-президентом Української академії естетичної стоматології.
Автор підручника та понад 60 клінічних та наукових статей з реставраційної стоматології.




